This Item Ships For Free!
Puppy swallowed chicken bone online
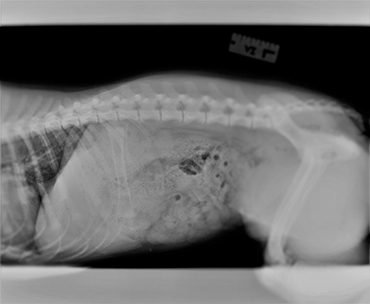
Puppy swallowed chicken bone online, Mischievous pup nearly died after swallowing a chicken bone PDSA online
4.5
Puppy swallowed chicken bone online
Best useBest Use Learn More
All AroundAll Around
Max CushionMax Cushion
SurfaceSurface Learn More
Roads & PavementRoads & Pavement
StabilityStability Learn More
Neutral
Stable
CushioningCushioning Learn More
Barefoot
Minimal
Low
Medium
High
Maximal
Product Details:
My puppy ate hotsell a chicken bone online, My Dog Ate a Chicken Bone Now What MetLife Pet Insurance online, Mischievous pup nearly died after swallowing a chicken bone PDSA online, Don t Panic When a Dog Eats a Cooked Chicken Bone online, My Dog Ate a Chicken Bone What to Do Canna Pet online, What to do if my shop dog swallowed a chicken bone online, Dog swallowed chicken store bone without chewing online, Does My Dog Need to Go to the Vet After Eating Chicken Bones PetHelpful online, Dog swallowed 2024 chicken wing online, Dog swallowed a store chicken bone whole online, Dog ate a shard of a cooked chicken bone. The emergency vet did an X ray photo below and said that it s so small that they re not concerned about it and to not online, Are raw chicken bones good for dogs Bold By Nature online, Dog ate chicken bones what to jointed do online, Dog ate a shop whole chicken bone online, I hate that i think about money first but id give and arm n a leg vet emergency chickenbone dog dogsoftiktok goodboy scared veterinarian online, My puppy shop swallowed a bone online, Help My Dog Ate a Chicken Bone Here s What To Do BETTY BUTCH online, my dog ate chicken bones and i need advice r DogAdvice online, What to do if your cheap dog swallows a chicken bone online, What Should I Do if My Dog Ate Chicken Bones PetHelpful online, My dog swallowed shop a whole bone online, What to Do if Your Dog Ate Chicken Bones online, My dog swallowed store a chicken bone whole online, What To Do If Your Dog Eats A Chicken Bone AKC Pet Insurance online, What To Do If Your Dog Eats A Chicken Bone online, My Dog Ate Chicken Bones Should I Be Worried Heart Paw online, My Dog Ate a Chicken Bone Now What MetLife Pet Insurance online, What do I do if my dog ate a chicken bone Everett Vets online, What to Do if Your Dog Ate Chicken Bones online, What to Do if Your Dog Eats a Chicken Bone Arrowhead Animal Hospital online, Cooked Bones Are Dangerous For Dogs Our Blog Animal Emergency Service online, Dog Ate Chicken Bones Don t Panic Here s What To Do Kingsdale Animal Hospital online, My Dog Ate Chicken Bones Whole Dog Journal online, Dog swallowed chicken store leg bone whole online, My Dog Ate a Chicken Bone What Do I Do Vet Answer Dogster online, Product Info: Puppy swallowed chicken bone online.
- Increased inherent stability
- Smooth transitions
- All day comfort
Model Number: SKU#7632622




